دکتر مسعود ترک زاده
جراح دهان، فک و صورت در تهران
دکتر مسعود ترکزاده فارغالتحصیل دندانپزشکی از دانشگاه علوم پزشکی مشهد (۱۳۸۸) و متخصص جراحی دهان، فک و صورت از همین دانشگاه در سال ۱۴۰۱ است.
ایشان با سالها تجربه تخصصی در حوزه ایمپلنتهای پیشرفته، روکشهای دقیق و اصلاح ناهنجاریهای فکی، همواره تلاش کردهاند درمانهایی ارائه دهند که علاوه بر ماندگاری بالا، بالاترین استانداردهای زیبایی و عملکرد را برای بیماران فراهم کند.
تخصص دکتر ترکزاده در تحلیل دقیق ساختار فک، انتخاب نوع مناسب ایمپلنت، اجرای جراحی با حداقل تروما و طراحی روکشهای دقیق، باعث شده بسیاری از بیماران ایشان تجربه درمانی مطمئن، کمدرد و کاملاً قابل پیشبینی داشته باشند.
تمرکز اصلی ایشان:
ایمپلنتهای تخصصی همراه با روکشهای زیبایی
جراحیهای فک و اصلاح ناهنجاریهای فکی و اسکلتی
طراحی طرح درمان اختصاصی برای هر بیمار
استفاده از متدهای جدید و تجهیزات بهروز
با تکیه بر مهارت جراحی و دانش تخصصی، دکتر ترکزاده تلاش میکند بهترین کیفیت درمان را در کنار آرامش، آگاهی و انتخاب درست برای هر بیمار فراهم کند.
خدمات دندانپزشکی تخصصی
ایمپلنت های دندانی
خدمات حرفهای ایمپلنت دندان همراه با ارزیابی کامل فک و دهان
ارائه نتایج ماندگار و ایمن زیر نظر متخصص باتجربه.
روکش های تخصصی
ارائه روکشهای دندانی با کیفیت ممتاز و طراحی اختصاصی
بازگرداندن استحکام و زیبایی دندانها با استفاده از مواد بادوام و استاندارد.
اصلاح ناهنجاریهای فکی
درمان ناهنجاریهای فکی برای بهبود ساختار صورت و سلامت دهان
اجرای درمان با دقت بالا جهت دستیابی به نتیجهای ماندگار و علمی.
تخصص در ایمپلنت:
تجربه بالا + تمرکز کامل روی جراحی و کاشت ایمپلنت.
طرح درمان اختصاصی:
طراحی برنامه درمانی دقیق بر اساس شرایط فک و نیازهای هر فرد.
استفاده از برندهای معتبر:
ایمپلنتهای استاندارد با تجهیزات دیجیتال و اسکن سهبعدی.
ایمپلنت در مطب دکتر مسعود ترک زاده
درمان را عقب نیندازید؛ همین امروز شروع کنید اگر پرداخت کامل هزینه ایمپلنت برایتان دشوار است، نیازی به تأخیر نیست. با امکان پرداخت اقساطی، درمان شما بدون وقفه آغاز میشود و میتوانید در سریعترین زمان جراحی ایمپلنت را انجام دهید.
مشاوره تخصصی ایمپلنت اگر درباره شرایط درمان ایمپلنت، نیاز به درمانهای جانبی یا هزینه نهایی اطلاعات کافی ندارید، میتوانید با ما تماس بگیرید. مشاوره کاملاً رایگان است و کارشناسان ما شما را قدمبهقدم راهنمایی خواهند کرد.
ایمپلـنت اقساطی با طرح ویژهی ایمپلنت اقساطی، دیگر هزینه مانعی برای لبخند شما نیست. درمان پیشرفته را همین امروز آغاز میکنید و پرداختها بهصورت مرحلهای و مدیریتشده انجام میشود.
امکان کاشت ایمپلنت در یک روز ایمپلنت فوری یا یکروزه روشی سریع و تخصصی برای جایگزینی دندانهای جلو است که ظاهر لبخند را همان روز اصلاح میکند.
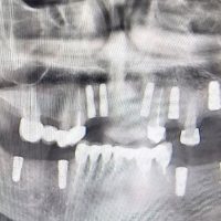
نمونه ایمپلنت های دکتر مسعود ترک زاده
متخصصان و تعالی دندانپزشکی شخصی
ما خدمات دندانپزشکی با کیفیت بالا و متناسب با نیاز تمام اعضای خانواده ارائه میدهیم. از معاینات روتین گرفته تا درمانهای پیشرفته، تیم دلسوز ما تضمین میکند که لبخند شما سالم و با اعتماد به نفس باقی بماند.
سوالات متداول
چند وقت یکبار باید به دندانپزشک مراجعه کنم؟
در مواقع اورژانس دندانپزشکی چه باید بکنم؟
آیا برای بچهها خدماتی ارائه میدهید؟
گزینههای من برای جایگزینی دندانهای از دست رفته چیست؟
آیا سفید کردن دندانها بیخطر است؟
مشتریان راضی ما
به هزاران بیمار راضی بپیوندید که برای مراقبتهای ملایم و تخصصی و لبخندهای زیبا به ما اعتماد میکنند. تجربه دندانپزشکی بینظیر شما از اینجا شروع میشود!
